Achieve a confident smile with clear aligners. Discreet, removable trays straighten teeth faster than traditional braces.
feel more confident about your smile.
Enamel Clinic’s dentists in Cape Town offer routine and cosmetic dentistry, including regular check-ups.
Dental check-ups provide:
- Advice and guidance
- Early detection
- Timely treatment
- Cancer screening
- Periodontal screening

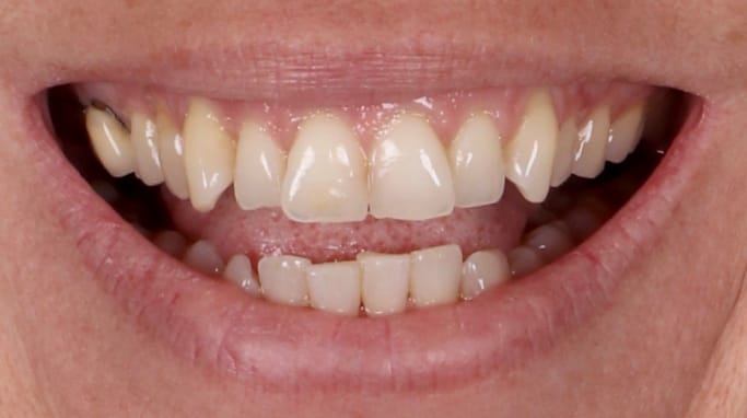
Case by Dr Mark Bowes
Drag circle to see before and after
The growing popularity of clear aligners in South Africa shows how attitudes are changing towards adult orthodontics.
Clear aligners are translucent and removable orthodontic appliances designed to straighten teeth. While traditional braces use wires and rubber bands to move the teeth, clear aligners are discrete clear plastic trays moulded to your precise measurements – so you can feel more confident about your smile even during the process.
At your first consultation, the dentist will examine your smile to determine if you are an ideal candidate. Once you are cleared to start the treatment process, a digital scan of your teeth will be sent to the lab for planning and processing. They will design a customised series of clear aligners for you to use over several weeks or months, gradually and gently guiding your teeth into position.
Clear aligners achieve quicker results than traditional braces, depending on the severity of your misalignment. Once your treatment is complete, we will provide a long-term retention plant to prevent your teeth from relapsing.
It’s recommended that you wear your aligners for 22 hours a day, including while you sleep. Ideally, you should only remove your appliance to drink hot drinks, eat and brush your teeth. If you aren’t able to wear your aligners for this amount of time, it can affect the length and success of your treatment.
How to clean aligners
It’s essential to properly clean your clear aligner braces to remove odour-causing bacteria and plaque buildup. Here are some dentist-approved methods:
- Brush your aligner with toothpaste and cold water, both morning and evening.
- Use a special aerosol foam spray for ideal cleaning and disinfecting of aligners. (Ask your dentist to learn more.)
How often to clean aligners
We recommend cleaning your aligners twice a day. This can be done every time you brush your teeth. We suggest doing this when you wake up in the morning and again before going to bed in the evening. Remember to ensure you are still brushing your teeth often and giving them a floss during this treatment process.


