Enhance your smile with cosmetic treatments designed for both beauty and oral health. Solutions like whitening and smile design deliver the results you’ve always wanted.
Treatments
Smile with Pride
We believe that everyone deserves to have a smile they’re proud of. Whether you’re looking to correct a cosmetic flaw, enhance your smile, or maintain your oral health – the top cosmetic dentist in Cape Town is here to help.
Our cosmetic dentistry services are designed to address a wide range of aesthetic concerns, including stained, chipped, crowded or misshapen teeth, gaps and spaces between teeth, and so much more.
Whether you’re looking for a quick, simple solution or a more comprehensive smile makeover, we have the experience and expertise to help you achieve your goals.
TESTIMONIALS
With the digital smile design process performed by Dr Mark Bowes, and his impeccable eye for detail, I immediately knew I was in good hands. He exceeded my expectations.
~ Andre Wiese
Dr.Gluckman and his wonderful team are not only masters at their art but are also the most welcoming, warm and caring medical practitioners I have known.
~ Daniella Mair
Dr Brandt and his team are first class.They are on another level.Top of their game.
~ Mark Joyner
Treatments
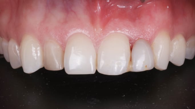
DIGITAL SMILE DESIGN (DSD)
Enamel Clinic was the 1st practice in South Africa to use this exciting concept and is South Africa’s only Digital Smile Design official clinic. Dr Bowes is one of the very few dentists in the world to become a Digital Smile Design (DSD) Instructor – he teaches dentists all over the world about the benefits of DSD.

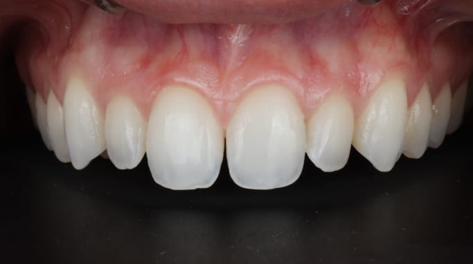
Case by Dr. Mark Bowes
Drag circle to see before and after
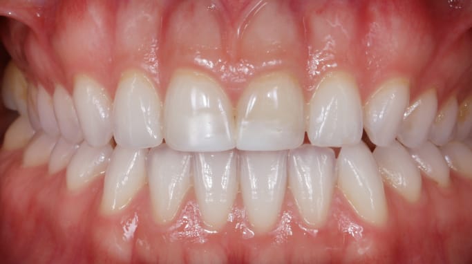
PORCELAIN VENEERS
A veneer is a new front surface for a tooth, custom made from porcelain. Veneers can be used to correct broken, discoloured and malaligned teeth. They can also be made extremely thin using minimally invasive technology. Their strength and appearance rivals that of natural teeth and they are used to make long lasting changes to the smile.Â

Case by Dr. Mark Bowes
Drag circle to see before and after
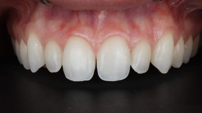
AESTHETIC BONDING
Aesthetic composite bonding including Composite Resin Veneers.
This is a process where a composite resin is applied to one or more teeth that have become discoloured or physically damaged. The plastic resin will be tooth-coloured to blend in, and your teeth can be bonded for numerous reasons.Â

Case by Dr. Mark Bowes
Drag circle to see before and after
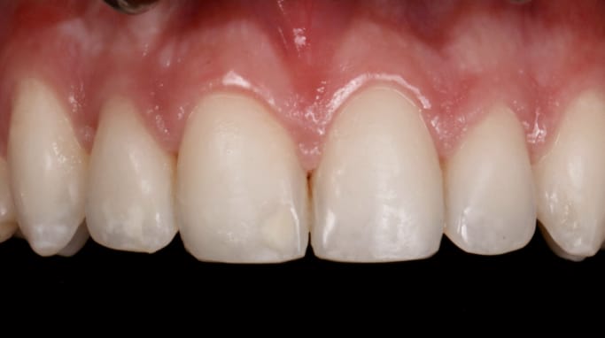
TEETH WHITENING
Smiles are universally understood in every language. Here at Enamel, we understand that sometimes small details can make a major difference. Having a brilliant smile, free from stains and discoloration symbolises youth, health and increases your self-esteem. Our oral hygienist provides customised care to ensure that your smile best reflects your personality and boosts your confidence so you won’t be able to stop smiling.

Case by Dr. Mark Bowes
Drag circle to see before and after
GUM RECONTOURING
For those patients with low or uneven levels, a laser gum reshaping treatment can be performed to correct this. If a client has a gummy smile a painless gum lift can be offered.



