As the first Digital Smile Design (DSD) Clinic in Africa and South Africa we provide patients with niche dental treatments that are minimally invasive. Dr Mark Bowes leads the team of smile architects to help provide world-class dentistry.
BE THE CO-AUTHOR
OF YOUR NEW SMILE
Digital Smile Design (DSD) provides a unique experience to help rehabilitate your smile. Our smile architects value your input every step of the way to ensure you’re satisfied with the outcome of the treatment.
By seeing and feeling your new smile, you get a glimpse of the emotional impact it will have on the rest of your life. Our unique protocol gives patients the chance to test drive their smile before committing to treatment. With four easy steps, you can start your smile rehabilitation today!

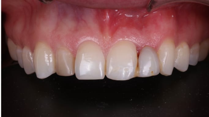
Case by Dr Mark Bowes
Drag circle to see before and after
TESTIMONIALS
With the digital smile design process performed by Dr Mark Bowes, and his impeccable eye for detail, I immediately knew I was in good hands. He exceeded my expectations.
~ Andre Wiese
Dr.Gluckman and his wonderful team are not only masters at their art but are also the most welcoming, warm and caring medical practitioners I have known.
~ Daniella Mair
Dr Brandt and his team are first class.They are on another level.Top of their game.
~ Mark Joyner
What is Digital Smile Design (DSD)?
Digital Smile Design (DSD) is a facially driven process whereby our smile architects use 3D scans, X-rays and images of your face to plan a smile rehabilitation to fit with the natural aesthetics of your face. DSD allows us to provide a predictable, precise and effective outcome.
You will be able to see and feel your completed smile before we start the treatment process and provide your input every step of the way. Our smile makeover standards are backed by 5 Smile Makeover Standards, read more about them here. Our smile architects utilise minimally invasive treatments to rehabilitate your smile in a cost-effective way.
What is Digital Smile Design (DSD)?
As the first dental clinic to offer Digital Smile Design in South Africa, Enamel Clinic is rewriting the rules of what’s possible in dentistry. When you book your consultation with us, you’re just five steps away from a smile that will change your life.

1. Scan
We use a state-of-the-art intraoral scanner that helps map out a precise 3D simulation of your mouth.

2. Design
We combine the measurements and your expectations to help create your dream smile.

3. Print
Before our team starts with the treatment process, a precise mock-up of your new smile is created with 3D printing technology.

4. You Test Drive
It’s time for our photographers to capture beautiful images and videos of your new smile. It’s a life-changing moment; it’s when emotional dentistry get’s real.

5. You Smile
The final step in a smile makeover ends with Guided Treatment. It ensures that your dentist performs all your clinical procedures with precision, efficiency and predictability.


