Save your tooth and relieve pain with root canal treatment. Our expert care ensures minimal discomfort and long-lasting results.
improve the overall appearance of your smile.
Endodontics
Endodontics is the field of dentistry that focuses on treating the ‘inside’ or ‘nerve or pulp tissue’ of a tooth. Healthy teeth have nerves, blood vessels and other cells contained within the root canal system inside the roots of the tooth. These give us, for example, the cold sensation when we eat an ice-cream or drink cold water. Various things can cause damage to this system including deep decay, a large filling, trauma, cracks, gum disease or due to malformed teeth. This may result in an inflammation or infection where the contents of the root canal system can be destroyed. The aim of Endodontic treatment is to save teeth and remove pain by treating existing infections and prevent recurring infections. The most common endodontic treatment is ‘Root Canal treatment’.

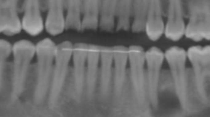
Case by Dr Sonja Britz​
Drag circle to see before and after
When is Root Canal treatment necessary:
Root canal treatment is done to save teeth. The alternative is normally extraction, with or without replacement, usually with dental implants. In most cases, Root Canal treatment is the more conservative and cost-effective option. Teeth that need root canal surgery often, but not always, have symptoms such as constant throbbing or sharp pain, lingering sensitivity to hot or cold, discolouration of the tooth, swelling of the adjacent gums, or tenderness of the tooth, pain on biting or chewing and a history of trauma. Sometimes, there are no signs or symptoms, and a diagnosis of infection is made by chance when routine X-rays are taken.
What happens during my consultation?
How is the treatment done?

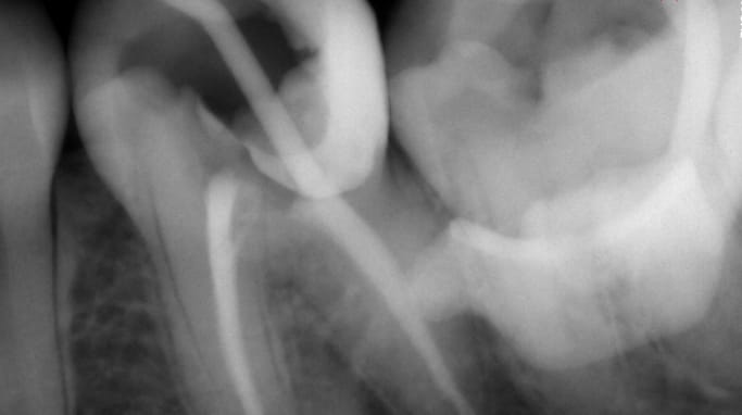
Case by Dr Sonja Britz
Drag circle to see before and after
Why Choose an Endodontist?
Endodontists are specialists in saving teeth, committed to helping you maintain your natural smile for a lifetime. They have additional training and education to become experts in performing root canal treatment and diagnosing and treating tooth pain. In South Africa, unlike in most other developed countries, Endodontics is not a registerable speciality. However, some dentists, having undergone additional training, limit their practices to Endodontics and, as such, fulfil this role. The average endodontist completes 25 root canal treatments a week, while general dentists do about two root canals a week. Because they limit their practice solely to endodontic treatment, endodontists are efficient and precise. This equates to positive experiences and faster healing. We also go out of our way to accommodate patients with emergencies to relieve pain quickly and efficiently and we use state-of-the-art technology such as operating microscopes, digital imaging, ultrasonic instrumentation, laser disinfection and fibre optics, to treat patients effectively and comfortably.


