Comprehensive care to keep your smile healthy and beautiful. From routine checkups to restorative treatments, we offer solutions tailored to your needs.
Treatments
Smile healthy, live healthy
At Enamel Clinic, our ethos is that a healthy smile is the foundation of a healthy life. That’s why we’re dedicated to providing high-quality, comprehensive dental care to help our patients achieve and maintain their best possible oral health. As a full-service general dentistry practice, we offer a wide range of services to meet all of your dental needs, from routine cleanings and exams to more complex treatments like restorative procedures and orthodontics.
We understand that visiting the dentist can be intimidating for some people. That’s why we’ve created a friendly and welcoming environment where you can feel confident and at ease from the moment you walk through the door. Our team of highly trained and experienced dental professionals is here to answer any questions you may have and to provide the care and support you need to keep your smile healthy and beautiful.
Preventive Care - The Key to a Healthy Smile
Preventive care is the cornerstone of our approach to dental health at Enamel Clinic. Regular cleanings and exams are the best way to keep your teeth and gums healthy and prevent serious dental problems from developing. Our general dentistry services are designed to help you maintain good oral health with regular checkups and thorough cleaning.
During your cleaning, one of our dental hygienists will remove plaque and tartar buildup and polish your teeth to leave them feeling clean and smooth. At your exam, your dentist will check your teeth and gums for signs of decay, gum disease, and other issues. If we do find a problem, we’ll work with you to develop a treatment plan to get your smile back on track. And if everything looks good, we’ll simply clean your teeth and send you on your way with a smile!
Restorative Procedures - When You Need a Little Extra Help
Unfortunately, even with the best preventive care, dental problems can still occur. That’s why we offer a wide range of restorative procedures to help repair and restore damaged or diseased teeth. From simple fillings to more complex procedures like crowns, bridges, and dentures, we have the skills and experience to help you get your smile back to its best.
Orthodontics - A Straight Smile is a Healthy Smile
At Enamel Clinic, we’re proud to offer orthodontic care to help our patients achieve straight, healthy smiles. From traditional metal braces to clear aligners like Invisalign, we have the solutions you need to get the smile you want. Our orthodontic treatments are designed to be comfortable, effective, and affordable, so you can get the smile you’ve always wanted without breaking the bank.
Emergency Dental Care - When You Need Us Most
We understand that dental emergencies can happen at any time, which is why we offer emergency dental care to our patients. If you’re experiencing a dental emergency, please don’t hesitate to give us a call: Our team will do everything we can to get you in for an appointment as soon as possible so that we can help you get back to smiling and feeling your best.
At Enamel Clinic, we’re here to help you achieve and maintain your best possible oral health. As a warm, welcoming, and professional dental clinic – We’re here to provide you with the care and support you need to keep your smile healthy and beautiful for a lifetime.
TESTIMONIALS
With the digital smile design process performed by Dr Mark Bowes, and his impeccable eye for detail, I immediately knew I was in good hands. He exceeded my expectations.
~ Andre Wiese
Dr.Gluckman and his wonderful team are not only masters at their art but are also the most welcoming, warm and caring medical practitioners I have known.
~ Daniella Mair
Dr Brandt and his team are first class.They are on another level.Top of their game.
~ Mark Joyner
Treatments
FILLINGS
Composite filling refers to the repair of decayed, damaged or discoloured teeth using material that resembles the colour of tooth enamel. Your dentist drills out the tooth decay and applies the composite onto the tooth’s surface, then “sculpts” it into the right shape before curing it with a high-intensity light.

Dr Sonja Britz
Drag circle to see before and after
CROWNS
Crowns are used to restore severely broken down teeth. Porcelain looks extremely natural, being so lifelike, it leaves no black lines at gum level as seen with some traditional crowns.

Prof Howard Gluckman
Drag circle to see before and after
Dental Checkup
Enamel Clinic’s dentists in Cape Town offer routine and cosmetic dentistry, including regular check-ups.
Dental check-ups provide:
- Advice and guidance
- Early detection
- Timely treatment
- Cancer screening
- Periodontal screening
Case by Dr. Mark Bowes
Drag circle to see before and after
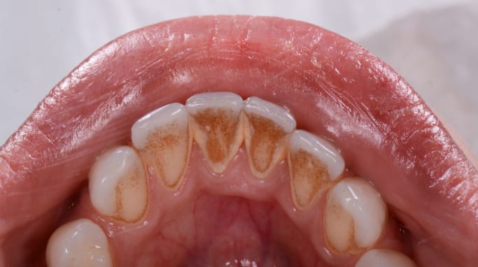
ADVANCED PLAQUE REMOVAL
A new high tech oral hygiene treatment now in SA!
A GAME CHANGER FOR PROFESSIONAL ORAL HYGIENE CLEANING.
Regular visits to your dentist and oral hygienist ensure healthy teeth and gums, essential in helping to keep your overall health in tip top shape. EMS Guided Biofilm Therapy offers gentle, yet effective, high pressure airflow treatment that targets plaque build-up (also called biofilm). With the launch in South Africa of this breakthrough product, you can now enjoy naturally healthy, stronger teeth and gums.



