Crowns
We firmly believe that a healthy, confident smile can make all the difference in your life. That’s why we’re proud to offer a full range of dental services – including dental crowns.
What is a dental crown?
A dental crown, also known as a cap, is a type of dental restoration that completely covers or “caps” a damaged, decayed, or weak tooth. It is designed to restore the tooth’s shape, size, strength, and functionality, while also improving its appearance.
Dental crowns are usually made of porcelain, composite (resin) zirconia and are custom-made to fit over the prepared tooth. Before placing the crown, the dentist will remove any decay or damage from the tooth and shape it to accommodate the crown. They will then take a digital impression of the prepared tooth, which will be used to create the crown in a dental laboratory.
Once the crown is ready, the dentist will place it over the prepared tooth and bond it in place with a special dental adhesive. The crown will be adjusted and polished to ensure that it fits comfortably and looks natural.
Dental crowns can be used for a variety of purposes, including:
- To restore a decayed or damaged tooth that is too weak for a filling
- To protect a tooth that has undergone root canal therapy
- To cover a tooth with a large filling or significant wear and tear
- To improve the appearance of a misshapen or discoloured tooth
- To support a dental bridge or to cover a dental implant
Overall, dental crowns are a durable and long-lasting solution for many dental problems, and can help to restore both the function and appearance of damaged or weakened teeth

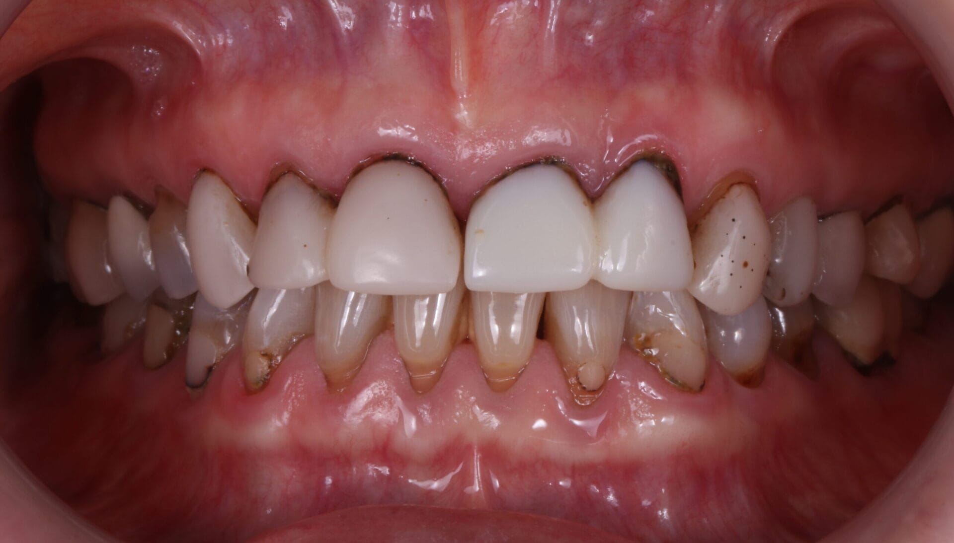
Case by Dr Mark Bowes
Drag circle to see before and after
WHAT IS THE PROCESS
The process typically requires two visits to the dentist.
First Visit
The dentist will prepare the damaged tooth by removing any decay or damage and reshaping the tooth to make room for the crown. Next, an impression of the tooth will be taken and sent to a dental laboratory where the crown will be made. In the meantime, a temporary crown may be placed to protect the prepared tooth.
Second Visit
During the second visit, the permanent tooth crown will be tried on for fit, colour and bite. The dentist will make any necessary adjustments before bonding the crown to the prepared tooth with dental cement. The crown will be checked for proper fit and bite, and the dentist will make any final adjustments to ensure a comfortable fit.
It is important to properly care for a dental crown to ensure its longevity. Good oral hygiene practices, such as brushing and flossing, should be maintained to prevent decay and gum disease around the crown. In addition, it is important to avoid biting on hard objects, such as ice or hard candy, which can damage the crown.
Single-visit Crowns and Veneers Dentistry:
Looking for a quick visit to the dentist? Crown manufacturing is sped up using Cad-Cam (Computer-aided design and computer-aided manufacturing) to produce high-quality crowns, implant crowns, veneers, inlays and onlays in a single session.
We primarily use Dentsply Sirona‘s Primescan and Primemill for this process, which is also known as CEREC. Design and manufacturing take place while you wait, lengthening the single appointment but eliminating the need for a second appointment. High-performing individuals who consider time a high priority when choosing treatment, as well as patients who require treatment while on holiday, would consider this the ideal option.


