Support your child’s natural development with early orthodontic care. Myobrace is best suited to children aged 3 to 15 and uses a series of removable appliances to correct poor oral habits and encourage healthy, natural growth. No braces or aligners needed.
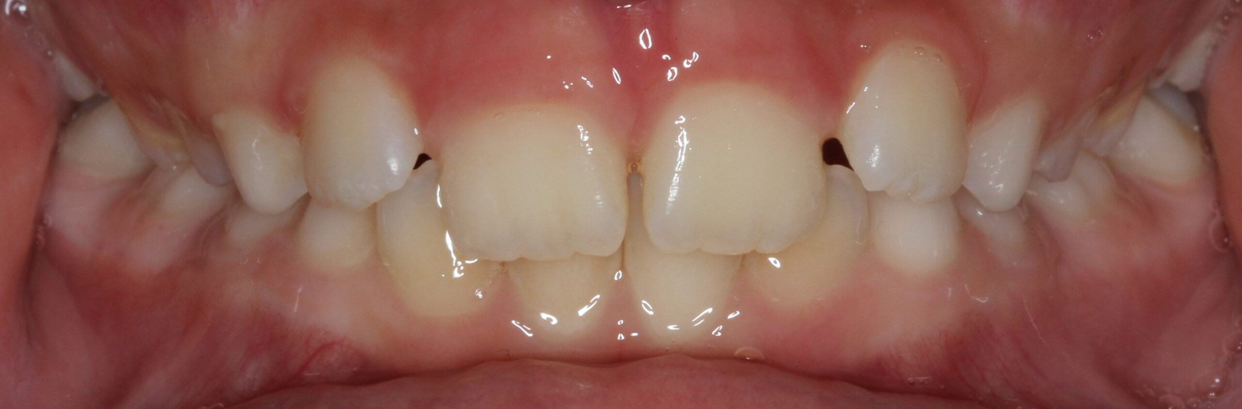
How we breathe and swallow ultimately define how our jaws will grow. While genetics can play a role in how we develop, the evidence is clear that children who mouth breath, and swallow incorrectly will develop what is known as a malocclusion, or crooked teeth. Myobrace is a functional, pre-orthodontic appliance that aims to correct the breathing habit as well as the swallowing habit, ultimately allowing the correction of the jaws and enough space for the erupting adult teeth. The treatment involves a series of removable appliances that are worn for at least one hour per day and overnight while sleeping.


Myobrace works by addressing these poor oral habits and strengthening the muscles in the mouth. The removable appliances are designed to train the tongue and jaw to rest in their proper positions, creating a nasal breathing habit and the correct swallowing pattern. By doing so, the teeth are free to erupt without restriction and can naturally shift to their correct positions. This can lower the chances of requiring conventional orthodontics, although this may differ from case to case and the patient’s appetite for aesthetics.

Myobrace has several health benefits. Straight teeth are easier to clean and maintain, reducing the likelihood of gum disease and tooth decay. Improved breathing and swallowing can also improve overall health and reduce the risk of sleep apnoea.
The Myobrace treatment typically lasts between 12 and 24 months, although this can vary depending on the severity of the case. The ideal time to wear Myobroce is overnight while sleeping and this needs to happen consistently in order to see changes and improvement in the jaw relationship, arch form and tooth position.
Preventing crooked teeth also involves practicing good oral hygiene and seeking early treatment for any dental issues. Regular dental checkups can help identify any potential problems and ensure they are addressed before they become more severe. Parents can also help prevent crooked teeth in children by encouraging proper oral habits, such as avoiding thumb-sucking and tongue-thrusting and reminding them to breathe through their noses.

In some cases, orthodontic treatment may still be necessary to correct crooked teeth fully . However, Myobrace can be used as a pre-orthodontic treatment to improve overall oral health and reduce the severity of whatever orthodontic treatment might be needed.
Myobrace is a pre-orthodontic treatment that aims to naturally straighten teeth by addressing poor oral habits and improving overall oral muscle function. Crooked teeth are caused by a combination of genetic factors and poor oral habits such as thumb-sucking, tongue-thrusting, mouth breathing, and improper swallowing. Myobrace works to address these habits and improve oral health, which can reduce the severity of any necessary orthodontic treatment. Practicing good oral hygiene and seeking early treatment for any dental issues can also help prevent crooked teeth.

Fill out the online booking form.

Wait for your confirmation
email with appointment details.

Arrive at the clinic, and we’ll take
care of the rest!