Protect your gums with expert care. We prevent, diagnose, and treat gum disease, ensuring a healthy foundation for your smile.
Treatments
What is Periodontics?
Periodontitis, also known as gum disease, is a chronic inflammatory condition affecting the supporting structures of the teeth, which include the gums, bone, and ligaments. It is caused by bacteria that gathers on the teeth and around the gum line, which then leads to inflammation and infection in the gums. If left untreated, periodontitis can result in tooth loss and can increase the risk of systemic diseases such as heart disease, stroke, and diabetes.

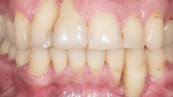
Case By Prof Howard Gluckman
Drag circle to see before and after
TESTIMONIALS
With the digital smile design process performed by Dr Mark Bowes, and his impeccable eye for detail, I immediately knew I was in good hands. He exceeded my expectations.
~ Andre Wiese
Dr.Gluckman and his wonderful team are not only masters at their art but are also the most welcoming, warm and caring medical practitioners I have known.
~ Daniella Mair
Dr Brandt and his team are first class.They are on another level.Top of their game.
~ Mark Joyner
The stages of periodontitis include the following:
1. Gingivitis
The initial stage of gum disease is called Gingivitis. It is characterized by red, swollen, and bleeding gums. Gingivitis can be reversed with proper professional care and regular oral hygiene practices, including brushing and flossing. If left untreated, gingivitis can advance to periodontitis.
2. Gum Recession
Periodontitis worsens over time, causing gum recession. This includes the exposure of the tooth’s roots, forming pockets between the teeth and gums. These pockets trap bacteria and food debris, leading to further damage to the surrounding structures. The gums may also become tender, sore, and bleed during brushing or flossing. Treatment options for gum recession may include gingival grafts, periodontal regeneration, and cosmetic periodontal surgery, depending on the severity of the condition.
Treatment of periodontitis
The severity of gum disease varies, and the treatment plan is tailored to each patient’s needs. Depending on the stage and extent of the disease, periodontal treatment may involve non-surgical and surgical procedures. Non-surgical treatment options include scaling and root planing, which involves removing plaque and calculus from the root surfaces of the teeth. In some cases, antibiotic therapy and antimicrobial mouth rinses may be prescribed to control the bacterial infection.
For more advanced cases of periodontitis, surgical treatment may be necessary. Procedures such as flap surgery, bone grafting, and tissue regeneration may be required to repair the damage and restore the supportive tissues around the teeth. In some cases, periodontal surgery may also involve the placement of dental implants or prosthetic devices, such as crowns or bridges, to replace missing teeth.
When to see a periodontist?
Seeing a periodontist is essential for the prevention, diagnosis, and treatment of gum disease. A periodontist is a dental specialist who specializes in the diagnosis and treatment of diseases that affect the gums and supporting structures of the teeth. Periodontists can diagnose gum disease through a comprehensive examination that includes probing the pockets around the teeth, taking x-rays, and reviewing the patient’s medical and dental history. They can also create an individualized treatment plan that addresses the specific needs and concerns of each patient.
In conclusion, gum disease is a severe condition that affects millions of people worldwide. Early detection and prompt treatment of gum disease are necessary to avoid tooth loss and to maintain a healthy smile. If you experience bleeding gums, tooth sensitivity, or other symptoms of gum disease, seeing a periodontist is essential to get the appropriate diagnosis and treatment. Remember, prevention is always better than cure, so take good care of your oral health with regular dental visits, proper oral hygiene practices, and a well-balanced diet.
Contact us today to set up an appointment for perfect oral health.


